経鼻胃カメラ検査(胃内視鏡検査)
宇都宮市の消化器内科 ひらしま胃腸内科では、経鼻胃カメラ検査(胃内視鏡検査)を行っております。ご希望の方はお気軽にご相談ください。
胃カメラ検査はインターネットからも予約していただけます
ネット予約はこちら ▹
経鼻胃カメラ検査とは?
胃カメラ検査(上部内視鏡)は、細い内視鏡を使って、食道や胃のポリープ、がん、炎症を調べる検査です。
当院では従来の口からカメラを入れる経口胃カメラ検査だけではなく、鼻からカメラを挿入する経鼻胃カメラ検査も行っております。
鼻からの胃カメラ検査のメリット
不快感が少ない

従来の口からの挿入に比べ、鼻からカメラを入れることでベロの奥(舌根)に触れないために、嘔吐反射(おえっという感覚)が少なくなります。
当院で導入した最新のレーザー内視鏡はとても細く(当院では6mm以下の極細径内視鏡を導入)、患者さんにとってはより負担の少ない検査方法です。
それでも不安が強い方や、以前に辛い思いをされてしまった方は、眠ったまま検査を受けることも可能です。お気軽に医師・スタッフへ相談ください。
検査中に会話ができる
鼻からの挿入であるため、検査をしながら医師と会話ができます。話をしてほしいというわけではないですが、最大の利点は、何かあった時に医師にそれを伝えていただけることです。
口からの挿入ではマウスピースを咥えることもあり、ジェスチャーでしかコミュニケーションが取れませんが、経鼻胃カメラ検査では医師に直接質問したり感覚を伝えたりできますので、安心して検査を受けていただけます。
検査後すぐに普段通りの生活ができる
検査時には、鼻とのどに局所麻酔をするくらいで、注射などは行いません。
そのため検査後の回復がはやく、すぐに普段の生活へお戻りいただけます。組織検査など行わない場合には、食事もすぐに可能です。
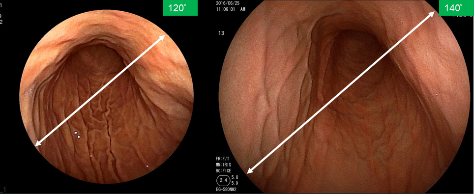
より精密でより分かりやすいレーザー内視鏡
当院では胃内視鏡においてより鮮明に食道や胃の中を観察することができる、レーザー内視鏡を導入しました。
レーザー光源を搭載した最新の内視鏡を用いることで、従来の内視鏡では発見の難しかった、非常に小さな病気まで確認できるようになりました。高い解像度により早期のがんも発見しやすく、写真も患者さんから見て分かりやすくなっております。
より大きく見え、画面も明るく
レーザー内視鏡の視野角は従来の内視鏡よりも広く、胃の中をより大きく映し出すことができます。また、レーザー光源を搭載していますので、画面も明るく高解像度で見やすくなっております。

画像強調により、診断がより簡単に
レーザー内視鏡には、光の強度や映し出した胃の中の色調を調整する機能がついており、それによってより病気の観察がしやすくなっております。
より細やかな色の変化を映し出したり、長い距離で血管や表面構造を強調させスキャンすることや、粘膜の血管をより浮かび上がらせた画像を作ることができます。
これにより、病気の発見だけでなく診断も簡単になり、患者さんからみてもより症状がわかりやすくなっております。


当院院長も試してみました!
さっそく当院院長もレーザー内視鏡を実践。
カメラの細さや、見える範囲の広さ、そして画像の鮮明さに驚きました。
普段は検査をする側ですが、される側になってこそ患者さんの気持ちを理解できるものです。
カメラが挿入されている感覚、どうすれば楽で、どういう動きで痛みが出るかなど体験し、より苦痛の少ない胃カメラ検査の実施に活かしていきます。
胃カメラ検査で発見・診断できる病気
- 逆流性胃腸炎
- 食道がん
- 胃潰瘍
- 急性・慢性胃炎
- 胃がん
- ポリープ
- 十二指腸がん など
検査の流れ
- 1. 受診
- まずは外来を受診していただき、症状をお聞きしながら医師が診察をいたします。
- 検査が必要と判断された場合には、患者様のご都合を聞いて検査の予約をいたします。
その後、医師・看護師より検査について詳しくご説明させていただきます。
※必要に応じて、当日検査を行うことも可能です。可能な限り前日夜は9時までに食事を済ませておいてください。お茶とお水であれば、当日朝までは摂って頂いて構いません。 - 胃カメラ検査はネットからも予約をしていただけます。
- 2. 検査前日
- 夜は9時までにお食事を済ませていただき、それ以降は水かお茶の摂取のみにしてください。
- 3. 検査当日
- 検査の前処置として局所麻酔などを行います。その後、検査を実施します。
- 検査時間は5~10分ほどです。
- 4. 検査後
- 内視鏡室横の洗面にて、優しく鼻をかんで頂き、鼻出血がないことを確認して身支度を整えてお待ちください。
出血や違和感が強い場合には、近くのスタッフへ声をかけてください。 - 5. 検査結果のご説明
- 撮影した画像を直接お見せしながら、検査内容の説明をさせて頂きます。症状に応じた処方を行わせて頂きます。
- 検査において、胃の粘膜の一部を採取し組織検査をする場合がございます。その場合、1週間後に来院いただき、検査結果をご説明いたします。
- 6. 検査後に気を付けること
- 検査の結果異常が見つからなければ、通常通りに過ごしていただいてかまいません。鼻からの検査の場合には、当日は優しく鼻をかむようにしてください。
- 組織検査を行った場合、検査の後は2~3日、アルコールや香辛料など刺激の強いものは控え、なるべく消化のいいものを召し上がってください。
検査でのご注意点
- 普段服用しているお薬のある方は、検査の前に事前に主治医に相談するようにしましょう。
- 検査で鎮静剤の使用をご希望の方は、お車でのご来院はお控えください。また検査後の運転も避けるようにしましょう。
鎮静剤を使用する、眠ったままできる内視鏡検査についてはこちらをご覧ください
定期的な胃カメラ検査で、大きな病気を予防しましょう
胃カメラ検査は病気を早く発見するためのものです。
現在では早期胃癌であれば、胃を切らずに内視鏡だけで治せる時代です。
定期的に受けていただくことで、早期発見できる確率が高くなります。
40歳を超えた方は特に定期的に胃カメラ検査を受けるようにしましょう。
検査実績
| 2020年度 | 1642件 |
|---|---|
| 2019年度 | 1159件 |
| 2018年度 | 916件 |
- 眠ったままできる内視鏡検査
- 経鼻胃カメラ検査(内視鏡)
- 大腸内視鏡検査
- ピロリ菌検査(尿素呼気試験)
- 腹部超音波検査(エコー)
- 宇都宮市がん検診
- 便潜血検査が陽性だった方へ
- 宇都宮市特定健診
- 予防接種のご案内
- 花粉症治療の舌下免疫療法
- 病気のコラム
- ピロリ菌
- 逆流性食道炎
- 機能性ディスペプシア
- 胃けいれん
- 胃腸炎
- 胃潰瘍
- 過敏性腸症候群(IBS)
- 大腸がんについて
- 虚血性大腸炎
- 非アルコール性脂肪肝炎(NASH)
- 痔
- 高血圧
- 脂質異常症
- 糖尿病



